ACTU DES HOPITAUX
Les experts sollicités par l’Anses (Agence nationale de sécurité sanitaire de l'alimentation, de l'environnement et du travail) pour établir un rapport d’expertise collective baptisé...
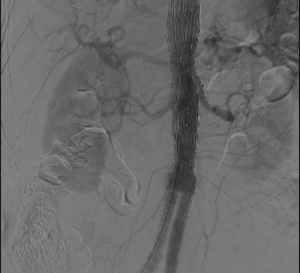
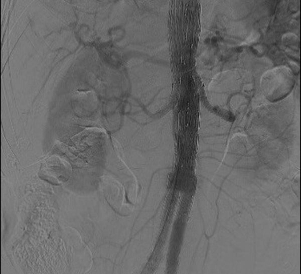
L’intelligence artificielle pour le suivi des patients bénéficiant d’une endoprothèse aortique 03/03/2022
L’endoprothèse a révolutionné le traitement des anévrysmes aortiques : au lieu de pratiquer un geste chirurgical enlevant l’anévrysme, il s’agit d’exclure celui-ci en posant un stent, qui l’élimine...
À retenir Une étude rétrospective a comparé le pronostic des femmes atteintes de cancer du sein triple négatif durant la grossesse et en dehors de cette période. Plus d’un quart des cancers du sein...
Des chercheurs français ont utilisé la mouche drosophile pour évaluer l’effet d’un pesticide sur le développement de la maladie de Parkinson. Ils viennent de...
Virus oncogènes et cancer de l’œsophage 02/03/2022
À retenir Le cancer de l’œsophage est le 7ème cancer en termes d’incidence et la 6ème cause de décès par cancer à travers le monde. Une revue de la littérature vient de faire le point sur...
Comment trouver la position qui donne le plus de plaisir à un couple ?
24/06/2023
Tout sur la santé bucco dentaire
12/11/2022
AVC (Accident Vasculaire Cérébral) : Causes, Symptômes et Traitements
01/09/2022
Quels aliments pour améliorer sa sexualité ?
25/08/2022
Fermeture de l’hôpital Aristide le Dantec: Cette femme craque et fond en larmes
16/08/2022
Les News
Soigner son intestin et son microbiote pour une meilleure santé ? L’importance du dépistage
08/12/2023
- senesante.com
NUVAXOVID® XBB.1.5 : un nouveau vaccin contre le COVID-19 est disponible en France
08/12/2023
- senesante.com
Limiter les conséquences de la maladie artérielle périphérique par l’exercice à domicile
08/12/2023
- senesante.com
Migraine : le bénéfice prophylactique de l'érénumab confirmé en vie réelle
08/12/2023
- senesante.com
Allergie à l’arachide : efficacité des patchs de désensibilisation chez les moins de 4 ans
05/07/2023
- senesante.com
Médicaments essentiels : la liste qui fâche
05/07/2023
- senesante.com
WWW.SENESANTE.COM OUEST FOIRE CITE XANDAR Dakar ( Sénégal ) EMAIL: dmeaminata@gmail.com - semobadiane@yahoo.fr / TEL: 78 583 66 18 - 77 650 09 16






