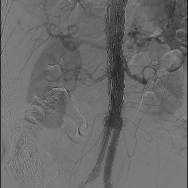
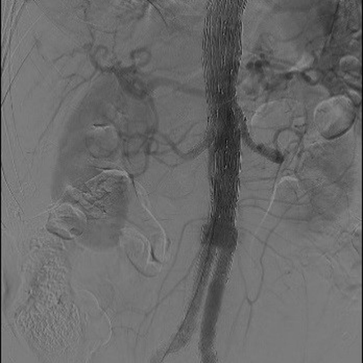
L’endoprothèse a révolutionné le traitement des anévrysmes aortiques : au lieu de pratiquer un geste chirurgical enlevant l’anévrysme, il s’agit d’exclure celui-ci en posant un stent, qui l’élimine de la circulation sanguine générale. Cette pose est effectuée par voie endovasculaire, avec un risque de mortalité nettement plus faible que celui de la chirurgie. Néanmoins, cette technique impose une surveillance à vie des patients pour repérer l’apparition d’éventuelles complications comportant un risque de rupture de l’anévrysme (endofuites, migration de la prothèse, perméabilité ou déformation du squelette métallique, plicatures, présence d’anévrismes au-dessus ou en dessous de la zone traitée, etc).
Le plus souvent, cette surveillance est effectuée par scanner, évaluant plusieurs paramètres, comme le diamètre de l’aorte ou la présence de fuites. L’équipe du Pr Michel Alain Bartoli (Hôpital Marie Lannelongue, Marseille – groupe Hospitalier Paris Saint-Joseph) et la société INCEPTO ont développé une solution d’intelligence artificielle (ARVA) qui fournit des mesures automatiques du diamètre anévrysmal en scanner. La solution a été développée pour fournir des mesures du diamètre de l’aorte dans la totalité de son trajet, avec reconstitution 3D. L’énorme avantage de cette technique est de pouvoir comparer les images au fil du temps.
Elle a été rendue possible grâce aux 3.500 scanners interprétés, datés et classifiés de l’équipe marseillaise. En effet, les performances de l’intelligence artificielle reposent d’abord sur la quantité de données exploitables. Elles seront accrues prochainement par de nouvelles fonctionnalités. Les données des patients sont obtenues avec leur consentement et anonymisées.
Le plus souvent, cette surveillance est effectuée par scanner, évaluant plusieurs paramètres, comme le diamètre de l’aorte ou la présence de fuites. L’équipe du Pr Michel Alain Bartoli (Hôpital Marie Lannelongue, Marseille – groupe Hospitalier Paris Saint-Joseph) et la société INCEPTO ont développé une solution d’intelligence artificielle (ARVA) qui fournit des mesures automatiques du diamètre anévrysmal en scanner. La solution a été développée pour fournir des mesures du diamètre de l’aorte dans la totalité de son trajet, avec reconstitution 3D. L’énorme avantage de cette technique est de pouvoir comparer les images au fil du temps.
Elle a été rendue possible grâce aux 3.500 scanners interprétés, datés et classifiés de l’équipe marseillaise. En effet, les performances de l’intelligence artificielle reposent d’abord sur la quantité de données exploitables. Elles seront accrues prochainement par de nouvelles fonctionnalités. Les données des patients sont obtenues avec leur consentement et anonymisées.







